隐形矫正牙齿要多少钱?

  人们想要把自己的牙齿矫正整齐,可是又担心价格太贵。那么隐形矫正牙齿要多少钱呢?下面就请深圳美莱口腔专家为大家介绍下。>>>点击专家在线咨询
 
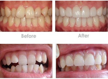
  隐形矫正前后对比
 
  隐形矫正牙齿要多少钱主要包括以下几个方面:
 
  一、自身牙齿的情况
 
  牙齿矫正的价格与牙齿基础条件有关,做牙齿矫正之前会通过计算机3D数码定位系统对您的牙列、牙齿的咬合情况进行综合分析,并通过精确的对比进行设计方案。不同人由于牙齿病变的情况不同,价格也不同。>>>点击专家在线咨询
 
  二、牙齿矫正所用的材料
 
  矫正材料不同价格不同,先从材料看,有进口和国产之分,一般是进口要贵于国产,国产和进口在性能和效果上有较大区别,不同材质其机械性能、物理性能、化学性能、生物相容性、美观性等都有很大区别。
 
  三、医生技术
 
  医生不仅要精通口腔的治疗,也要有较强的审美理念、还有赖于临床医师专业的修复理论支撑,规范的操作,正确的设计,和技师的密切配合等。

上一篇:地包天有哪些矫正方法

下一篇:微笑梦想导师Eliza走心分享:我和牙套的故事!

推荐阅读

推荐专家