牙齿拥挤做隐形矫正效果好吗?

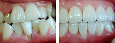
牙齿拥挤矫正真人案例对比图
据介绍,无托槽隐形矫治技术,不需要托槽和钢丝,采用一系列隐形矫治器,通过在牙齿上施加适当的、可控制的力来使牙齿逐步移位,最终达到预期的矫治效果。其透明的、可以自行摘戴的特点,使矫治过程几乎在旁人无察觉中完成,不影响日常生活和社交。>>>隐形矫正治疗要多久
无托槽隐形矫正牙齿拥挤的好效果是如何实现的呢?口腔专家介绍,无托槽隐形矫治采用的是完全个性化的设计理念,通过三维诊断软件,主诊医生可以在矫治前为演示整个矫正过程,方便医患沟通。并且材料是由已通过FDA认证的弹性透明高分子材料制成,安全可靠;矫治器厚度不到1mm,光滑舒适,戴用时无明显异物感和粘膜刺激,感觉舒适。
美莱口腔隐形矫正新突破
1、针对每个患者的个体特征进行矫治过程设计,并采用高科技技术进行矫治器的个性化制造,实现了牙颌畸形的个性化矫治。
2、矫治器透明、光滑的特质,隐蔽性很好,患者戴用时美观、舒适,也极大地减少了矫治过程中矫治器对口腔引起的并发症。>>>隐形矫正贵不贵
3、矫治器可以自行摘戴,与传统固定矫治相比,口腔卫生易于维护,不影响进食、刷牙、社交活动等日常生活。
4、临床医生根据矫治过程的计算机模拟结果对矫治方案进行修正或确认,并指导患者自行戴用矫治器,患者复诊时间大大缩短,复诊间隔显着延长。
上一篇:牙齿错位怎么治疗
推荐专家